TEJIDOS ANIMALES







1) adiposo 2)adiposo 3) cartilaginoso 4) cartilaginoso





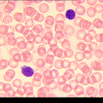
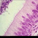
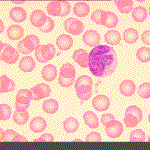
1)tejido óseo compacto 2) tejido conjuntivo denso 3)conjuntivo laxo 4)epitelio ciliado 4) sangre con granulocitos,linfocitos ,macrófago y plaqueta



7) muscular liso 8) muscular estriado 9)muscular cardiaco 10)axón-músculo estriado

 

 

e) tejido nervioso b)neurona